Гранулёматозные изменения у рыб не следует автоматически отождествлять с микобактериозом. Одинаковая макрокартина может скрывать разную этиологию, а решающее значение часто имеет именно микроскопия.
На этой странице собраны отдельные наблюдения и морфологические примеры.
Каждая карточка ведёт на самостоятельную страницу с полным разбором.
Histoplasma-like структуры
Мелкие внутриклеточные дрожжеподобные клетки 1–3 мкм в гистиоцитах селезёнки и почек. Halo, почкование и подковообразное базофильное содержимое.
Cryptosporidium-like структуры
Мелкие однотипные округлые образования с выраженным halo. Морфологически напоминают криптоспоридий, но требуют осторожной интерпретации.
Гуссия (Goussia)
Кокцидии с овальными ооцистами и вытянутыми споразоитами внутри спороцист. Характерный пример паразитов кишечника рыб.
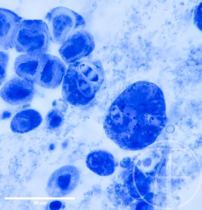
Внутриклеточные грибные формы
Крупные клетки с множественными включениями и тканевые формы, потенциально связанные с грибной этиологией.
Важно
В патологической анатомии и микробиологии гранулёма является неспецифической реакцией.
Она показывает наличие хронического воспалительного процесса, но сама по себе не указывает на конкретного возбудителя.