Исследованные рыбы при жизни не проявляли признаки какого-либо заболевания. Смерть наступала, преимущественно, в ночное время суток.
Жабры были анемичными, тела немного худыми. При вскрытии обнаруживались гранулемы в селезенке и/или почках. Паренхиматозные органы были анемичными и увеличены. Макрокартина соответствовала микобактериозу. Окрашивание мазков-отпечатков с селезенки и почек методом Циля-Нельсона кислотоустойчивые бактерии не выявило, гранулемы некротические, что в большинстве случаев свойственно микобактериям.



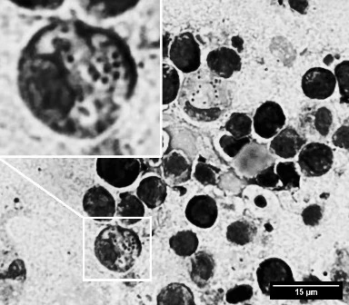
Окрашивание мазков-отпечатков методами Грамма и Романовского-Гимзе, а также тщательная микроскопия позволили выявить множество мелких грамположительных почкующихся клеток диаметром 1-3 мкм в гистиоцитах почек и селезенок. Клетки крупнее имели подобие базофильного подковообразного “ядра” (рис. 1-6).






Полученные данные могут свидетельствовать о диффузном инвазивном микозе дрожжевыми грибками рода Histoplasma. Формирование эпителиоидно-клеточных гранулем и некротизирующий гранулематоз чаще описан при H. сapsulatum. Во всех случаях мицелий не выявлен. Значительное гранулематозное воспаление паренхиматозных органов может свидетельствовать о хроническом вялотекущем заболевании.
Данный случай подтверждает существование в аквариумистике заболеваний с нестандартной этиологией и напоминает о важности тщательного поиска возбудителя заболевания. Ранее в литературе заявлялось лишь о экспериментальном заражении пойкилотермных животных с целью выяснить развитие гистоплазмоза в условиях не характерно низких для данного паразита температур (ниже 35С)(“Experimental histoplasmosis in cold-blooded animals” DOI:10.1007/BF02063081).
См. также
Ихтиофтириоз
Ихтиофтириоз без мифов
Разбор биологии Ichthyophthirius multifiliis жизненный цикл, терминология цисты, миф о вездесущем паразите и реальные механизмы …
Гексамиты
Гексамитиды
Почему гексамитиды не являются нормальной микрофлорой кишечника рыб, откуда берётся миф о «внутренних паразитах», и как на самом деле …
Что делать с рыбой после приезда
Что делать с рыбой после приезда
Рыбка приехала — достаём микроскоп, делаем мазки, изучаем бактерии и решаем, что делать дальше. Без паники и с умом.