Грибные элементы в препаратах рыб встречаются регулярно.
Однако их обнаружение само по себе не позволяет сделать однозначный вывод о природе процесса. В одних случаях это поверхностная колонизация повреждённых тканей, в других — инвазивное поражение с распространением в тканях и полостях.
На этой странице представлены наблюдения грибных структур у рыб и подход к их интерпретации.
Сапролегния и поверхностная колонизация
Наиболее известные «грибковые» поражения у рыб связаны с сапролегнией. В аквариумистике это выглядит как характерный «пушок» на теле. В подавляющем большинстве случаев сапролегния является не причиной, а следствием повреждений тканей, некроза, стресса (транспортировка, агрессия, параметры среды).
Иммунная система рыб в норме эффективно сдерживает развитие этих организмов, несмотря на то, что их споры постоянно присутствуют в воде. При ослаблении защиты гриб начинает активно развиваться и формирует поверхностные мицелиальные массы. Именно поэтому молодь поражается чаще: менее развитая иммунная система, меньшие размеры, ограниченное время на компенсацию повреждений.
Важно отметить, что сапролегния — это не «настоящий гриб», а представитель оомицетов.
Тем не менее морфологически она формирует типичные мицелиальные структуры.
Микробные сообщества
Поверхностные мицелиальные разрастания редко существуют изолированно. Гифы формируют структуру, в которой локализуются бактерии, инфузории, нематоды. Фактически это сложная микробная система, а не изолированный грибной процесс.
Паразитические формы
Существуют случаи, когда грибные элементы ведут себя иначе.
В отличие от сапролегнии гифы не образуют выраженных «пучков», а стелются по поверхности тканей, переплетаются, формируют плотные слизистые структуры. Такие процессы могут сопровождаться поражением внутренних органов.
Наблюдение
Ниже приведён пример поражения у молоди лососевых.
Типичная картина:
- жабры анемичные, светло-розовые,
- внутренние органы анемичные, покрыты прозрачной слизью,
- желудок и кишечник заполнены слизью,
- в содержимом и на органах обнаруживаются споры грибов.
Часто такие состояния сопровождаются вздутием кишечника.
Важно:
бактериальное газообразование чаще развивается посмертно,
в то время как подобные изменения при грибном процессе могут формироваться прижизненно.

В полости тела органы покрыты слизью.

Споры хорошо выявляются в слизистом содержимом внутренних органов.

В брюшке “на просвет” обнаруживаются кровоподтеки.

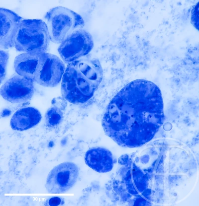
В соскобах обнаруживаются гифы и структуры, связанные со спорообразованием.
Картина становится целостной:
- гифы локализуются в тканях и полостях,
- споры присутствуют в слизи,
- изменения имеют системный характер.
Это позволяет связать морфологические находки в единый процесс.



При окраске наблюдается уменьшение размеров спор, что может затруднять интерпретацию.
Поэтому для первичного выявления предпочтительно использовать нативные препараты и применять водные красители (например, Леффлер).
Грибные структуры у рыб могут отражать как вторичную колонизацию, так и самостоятельный
патологический процесс. Их оценка должна основываться не на факте обнаружения,
а на морфологии, локализации и контексте.